Sán lá gan dễbị chẩn đoán nhầm và tử vong.
Cắt bỏ khối u chui ra sán lá gan lớn
PGS-TS Nguyễn Văn Đề - Chủ nhiệm bộ môn Ký sinh trùng Trường ĐH Y Hà Nội - cho biết, có rất nhiều trường hợp thập tử nhất sinh chỉ vì những con sán. Nhưng chuyện khó lường và không ai có thể nghĩ tới chính là những con sán lá gan ký sinh lạc chỗ “tác ai, tác quái”, gây hậu quả nghiêm trọng cho bệnh nhân.
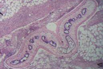
Đó là bệnh nhân Trần Văn T (36 tuổi, ở Chương Mỹ, Hà Nội) đi viện ngày 8.10.2012 do ho ra máu, diễn biến từng đợt suốt 2 tháng và mức độ tăng dần, gầy sút. Chụp phổi có u ở thùy dưới phổi phải, hạch rốn phổi to và được chẩn đoán là ung thư phổi mặc dầu có dấu hiệu nghi ngờ mắc bệnh ký sinh trùng (bạch cầu ái toan tăng cao). Bệnh nhân được mổ cắt thùy phổi có khối u, hạch phổi và một phần màng tim. Sau khi phẫu thuật, phân tích khối u cho thấy không phải ung thư, mà là do sán lá gan lớn gây nên.
![]() |
| Tiêu bản cắt mảnh qua u phổi có hình ảnh sán lá gan lớn. |
TS Đề cũng đưa ra toàn bộ hình ảnh con sán và hồ sơ ghi lại hành trình hoạt động hơn 7 tháng của con sán trên cơ thể của bệnh nhân Nguyễn Thị H (sinh năm 1957) ở xã Tiến Hoá, huyện Hướng Hoá, tỉnh Quảng Bình. Đầu tiên, chị H thấy xuất hiện đau vùng thượng vị (cảm giác đau âm ỉ), sốt được chẩn đoán sán lá gan lớn tại vùng gan, điều trị 3 tháng tại BV T.Ư Huế. 3 tháng sau, bệnh gan chưa hết thì xuất hiện u dưới da ngực trái rất đau, ngứa, đôi khi còn thấy có vật gì di động trong khối u.
Đi khám, bác sĩ chưa có kết luận gì thì 1 tháng sau, khối u dần dần xẹp xuống, nhưng lại xuất hiện khối u dưới da ngực phải, lúc đầu có đường nối giữa 2 u, sau đó đường này biến mất. Điều làm chị H và gia đình vô cùng lo ngại là, không chỉ đau, ngứa, khối u này lại rất cứng. Bệnh viện tuyến tỉnh không chẩn đoán được, chị chuyển ra Bệnh viện Việt - Đức (Hà Nội) chiếu chụp và chẩn đoán u sụn sườn, chỉ định điều trị kháng sinh không đỡ, chuyển viện K để sinh thiết. Kết quả u lành tính, nhưng sau 5 tháng lại xuất hiện u vú phải với triệu chứng sưng, nóng, đỏ, đau tại chỗ và có triệu chứng toàn thân là sốt có rét run.
Bệnh nhân đến Bệnh viện Việt Nam-Cu Ba Đồng Hới (Quảng Bình) khám và có chẩn đoán lá áp xe vú phải. Điều trị bằng Cetrax 1g x 3lọ/ngày x 15 ngày. Trong thời gian này đã chọc dò 2 lần cách nhau 1 tuần để hút dịch, nhưng đều không có dịch, chỉ có ít máu. Sau chọc dò lần hai xuất hiện 1 con sán kích thước 1 x 2cm chui ra, cử động khoẻ. Sau khi sán chui ra 1 ngày, bệnh nhân hết triệu chứng và nằm theo dõi tiếp 4 ngày ra viện và bệnh nhân hoàn toàn bình thường, ăn ngủ tốt, chỉ còn lại vết tím tại vùng ổ áp xe vú, còn dấu vết u dưới da ngực trái (A) và dấu vết lỗ chui ra của sán bên vú phải (B)....
![]() |
PGS-TS Đề cho biết, thực tế có rất nhiều người bị phẫu thuật, chẩn đoán nhầm là ung thư, nhưng thực tế là bị nhiễm ký sinh trùng. Bản thân ký sinh trùng sinh u không những là tác nhân gây ung thư như sán lá gan, mà khối u đã làm cho các nhà lâm sàng chẩn đoán nhầm với u ác tính và xử lý như một ung thư (phẫu thuật cắt bỏ, tiêm/truyền hoá chất, chạy tia xạ...) dẫn đến hậu quả không tốt cho bệnh nhân, nhất là suy sụp tinh thần bệnh nhân.
Sán lá gan lớn gây u nhiều nơi
TS Đề nhấn mạnh, người dân chớ chủ quan với bệnh sán lá gan lớn. Hiện bệnh này đang lưu hành trên toàn quốc với trên 20.000 bệnh nhân ở ít nhất 52 tỉnh, thành phố. Khi sán lá gan lớn Fasciola ký sinh trong gan, gây nên tổn thương dạng khối u nhưng có âm hỗn hợp trên siêu âm, đặc biệt có ELISA dương tính với kháng nguyên sán lá gan lớn và có bạch cầu ái toan tăng cao trong máu.
Điều đáng lưu ý là sán lá gan lớn ngoài ký sinh ở gan, còn bất thường sán non có thể di chuyển và ký sinh trong cơ bắp, phúc mạc, đại tràng, khớp gối, tuyến vú, dưới da, tim, phổi, màng phổi, ổ mắt, thành bụng, ruột thừa, tuỵ, lách, hạch bẹn, hạch cổ, mào tinh hoàn... gây nên những khối u nơi ký sinh rất khó chẩn đoán, như trường hợp sán lá gan lớn ký sinh ở phổi trong trường hợp trên. Đặc biệt, tại Việt Nam đã gặp sán lá gan lớn ký sinh ở dưới da ngực, tuyến vú, bắp chân và khớp gối.
Sán lá gan lớn gây nên những triệu chứng cấp tính rầm rộ như sốt, đau hạ sườn phải hoặc vùng thượng vị, nên dễ nhầm với các bệnh về gan mật hoặc dạ dày; người bệnh mệt mỏi, kém ăn, rối loạn tiêu hóa, xét nghiệm máu bạch cầu ái toan tăng, siêu âm phát hiện thấy các tổn thương về gan. Hậu quả bệnh sán lá gan lớn có thể dẫn tới tử vong do vỡ bao gan, xuất huyết hoặc sốc nhiễm trùng do viêm phúc mạc...
Theo Lao động

