Đây là loạt các hình ảnh quét não cho thấy con đường sán dây siêu nhỏ kí sinh ở não một người đàn ông ở Anh trong 4 năm.
![]() |
| Ảnh: Dailymail |
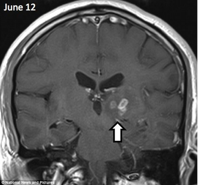
Kết quả chụp X-quang cho thấy: một con sán dài 1cm làm tổ ở bán cầu não phải đang di chuyển sang phía bán cầu não trái.
![]() |
| Ảnh: Dailymail |
Loại sán này có tên gọi có tên gọi khoa học là Spirometra erinaceieuropaei, có nguồn gốc từ vùng Viễn Đông, là loài cực kỳ hiếm, chỉ với 300 trường hợp được ghi nhận trên toàn thế giới kể từ năm 1953.
Nó gây ra tình trạng viêm các mô trên cơ thể được gọi là sparganosis. Khi bị nhiễm sán, chúng ta sẽ rơi vào tình trạng co giật mạnh, mất trí nhớ và đau đầu nghiêm trọng.
Có rất ít thông tin về loài sán này, tuy nhiên các nhà khoa học cho rằng mọi người có thể vô tình nhiễm sán nếu ăn phải các loại động vật giáp xác nhỏ bị nhiễm từ hồ, ăn thịt sống từ các loài bò sát và lưỡng cư.
Rất may mắn, các bác sĩ đã tiến hành gắp bỏ thành công con sán này ra khỏi não của bệnh nhân và ông đang hồi phục tốt sau ca phẫu thuật loại bỏ sán.
![]() |
| Con sán dài 5cm di chuyển từ bán cầu não phải sang bán cầu não trái của người đàn ông (Ảnh: Dailymail) |
Theo phân tích, con vật ký sinh này lành tính hơn trong số 2 loại sán sparganosis đã biết. Loài sparganosis nguy hiểm hơn có thể đẻ trứng với số lượng rất lớn, sau đó ăn hết não bộ của người khi chúng lớn lên.
Tuy nhiên, loài sán này có bộ gen đặc biệt, chúng có khả năng kháng với các thuốc chống sán dây hiện tại. Điều này đặt ra lo ngại về nguy cơ tăng nhiễm sán khi có rất nhiều người thích đi du lịch ở những địa điểm mới lạ, ít người biết đến.
Các nhà khoa học cho biết: việc phát hiện ra loài sán này với bộ gen đầu tiên được giải trình tự đã cho phép họ dự đoán về tác dụng của các loại thuốc hiện có.
Chuỗi gen được phân tích cho thấy loài sán này có thể kháng với albendazole, một loại thuốc chống sán phổ biến hiện nay.
Tuy nhiên, đang có nhiều loại thuốc mới sẽ được thử nghiệm, có khả năng điều trị tận gốc các loại sán dây trong tương lai.


