![]() |
| Đường là nguyên nhân gây sâu răng đầu tiên? Vi khuẩn gây sâu răng không chỉ thích đường mà còn ưa cả tinh bột-đường. Gạo, khoai tây, bánh mỳ, hoa quả và rau đều có chất tinh bột - đường. Ngoài ra, một thủ phạm khác là do khoảng thời gian răng tiếp xúc thức ăn quá lâu. Do đó, nếu cứ nhấm nháp đồ ăn có đường, tinh bột-đường cả ngày thì đó thực sự là mối nguy hiểm cho răng. |
![]() |
| Những thực phẩm có axít như chanh có gây sâu răng? Thức ăn có tính axít như chanh, nước trái cây họ cam quýt hoặc nước ngọt không phải là nguyên nhân gây sâu răng nhưng chúng có thể gây hại cho men răng vì chúng sẽ ăn mòn lớp men bảo vệ răng. |
![]() |
| Trẻ con bị sâu răng nhiều hơn người lớn? Đó là một lầm tưởng do sự quan tâm quá nhiều của người lớn đối với sức khỏe răng miệng của trẻ. Nhóm hay bị sâu răng lại là người cao tuổi do nước bọt giảm gây khô miệng, làm lượng axít tăng lên, thức ăn dễ dính vào răng. |
![]() |
| Đặt thuốc aspirin vào răng để chống đau răng? Hoàn toàn sai. Nếu uống aspirin thì có thể giúp bạn giảm cơn đau nhức. Tuy nhiên aspirin là axít nếu bạn để thuốc cạnh răng thực tế sẽ làm tổn thương mô lợi, nặng hơn thì gây áp-xe. Cách tốt nhất để giảm đau răng là uống thuốc. |
![]() |
| Chất hàn răng cần phải thay? Sai. Bạn chỉ phải hàn lại hoặc thay thế chất hàn răng khi chúng bị vỡ, sứt mẻ. |
![]() |
| Nếu bạn bị sâu răng, bạn sẽ biết ngay? Đó là một hiểu lầm tai hại. Ở giai đoạn đầu của sâu răng thì sẽ không có biểu hiện triệu chứng gì. Đến khi bạn cảm nhận được nỗi đau của những chỗ sâu răng gây ra thì lúc đó sâu răng đã ở mức độ nặng và gây tổn hại dây thần kinh rất nhiều rồi. Vậy nên hãy thường xuyên tự kiểm tra răng để phát hiện sớm các bệnh ở răng miệng. |
![]() |
| Răng yếu có nghĩa là bạn bị sâu răng? Hoàn toàn sai. Răng yếu chỉ đơn thuần bạn có hàm răng yếu hoặc lợi bị tụt để lộ chân răng. Răng yếu cũng là một yếu tố dễ gây sâu răng nhưng cũng còn phụ thuộc rất nhiều yếu tố khác. |
![]() |
| Sâu răng là lý do đầu tiên “bén rễ” vào tuỷ? Bị vỡ, nứt hoặc các loại chấn thương ở răng cũng có thể gây ảnh hưởng đến tủy răng. Có rất nhiều trường hợp nghiến răng nhiều cũng gây chấn thương và cần điều trị tuỷ răng. |
![]() |
| Ăn đồ cứng, cắn, nhai mạnh dẫn đến sâu răng? Sai nhưng trong một số trường hợp đôi khi lại đúng. Việc nhai, siết chặt răng, mài răng là một trong những cách hủy hoại răng vô thức tai hại nhất. Nếu nhai nhẹ nhàng và thông thường thì sẽ gây áp lực lên răng rất ít nhưng nhai mạnh, nhai đồ cứng trong thời gian dài sẽ gây “stress” cho răng, làm răng dễ bị tổn thương, tạo lỗ hổng, vết nứt vỡ, hở chân răng sẽ đẩy nhanh tốc độ sâu răng. |
![]() |
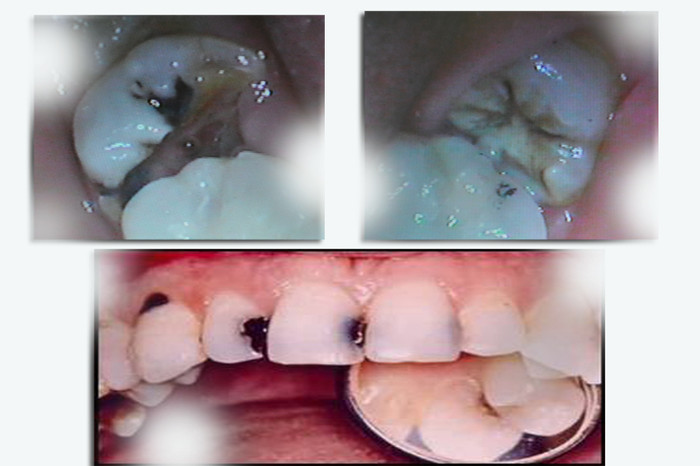
| Răng sữa sâu không quan trọng? Hoàn toàn sai. Răng sữa giữ chỗ cho răng vĩnh viễn. Nếu sâu răng ở răng sữa không được điều trị thì chúng có thể phát triển thành cơn đau nghiêm trọng và gây áp-xe. Đôi khi sự nhiễm trùng có thể lân lan sang các khu vực khác của cơ thể và trong một vài trường hợp hiếm có thể dẫn đến tử vong. |
Lê Phương (TH/DT)









