![]() |
| 1. Ung thư phổi và phế quản: Ung thư phổi và phế quản là căn bệnh ung thư gây tử vong hàng đầu ở Mỹ. Theo NCI, khói thuốc và hút thuốc lá là những nguyên nhân chính gây ra căn bệnh này. Bệnh phần lớn gặp ở những người từ 55 đến 65 tuổi. |
![]() |
| Có 2 loại chính: Ung thư phổi không phải tế bào nhỏ (phổ biến nhất) và ung thư phổi tế bào nhỏ (di căn nhanh hơn). Năm 2010, có hơn 157.000 người tử vong do ung thư phổi và phế quản. |
![]() |
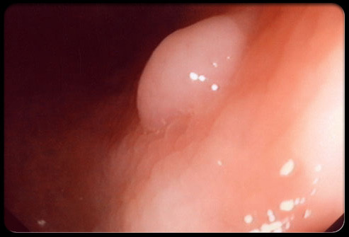
| 2. Ung thư đại tràng và trực tràng: Ung thư đại tràng là sự tăng trưởng mô của đại tràng, trong khi ung thư trực tràng tăng trưởng ở khoảng 10cm cuối đại tràng gần hậu môn. Phần lớn các trường hợp bắt đầu là khối tế bào nhỏ, lành tính (gọi là polyp), theo thời gian tiến triển thành ung thư. Theo Bệnh viện Mayo Clinic, nên khuyến nghị sàng lọc để phát hiện polyp trước khi chúng trở thành ung thư. Năm 2010, ung thư đại trực tràng khiến hơn 51.000 người tử vong. |
![]() |
| 3. Ung thư vú: Theo Bệnh viện Mayo Clinic, ung thư vú là căn bệnh ung thư phổ biến hàng thứ 2 ở phụ nữ Mỹ, sau ung thư da. Bệnh cũng có thể xảy ra ở nam giới, với gần 2.000 trường hợp ung thư vú nam trong khoảng thời gian 2003-2008. Ung thư thường hình thành trong các ống dẫn sữa tới núm vú hoặc các tuyến sản sinh sữa ở phụ nữ. Theo NCI, năm 2010 có gần 40.000 người chết vì ung thư vú. |
![]() |
| 4. Ung thư tụy: Ung thư tụy bắt đầu từ mô tụy – nơi trợ giúp tiêu hóa và điều hòa chuyển hóa. Theo Bệnh viện Mayo Clinic, phát hiện và can thiệp sớm là rất khó vì bệnh thường tiến triển âm thầm và nhanh. NCI cho biết năm 2010 có 37.000 người tử vong do ung thư tụy. |
![]() |
| 5. Ung thư tuyến tiền liệt: Bệnh ung thư này là nguyên nhân tử vong do ung thư đứng hàng thứ 2 ở nam giới, sau ung thư phổi và phế quản. Ung thư tuyến tiền liệt thường bắt đầu tăng trưởng chậm ở tuyến tiền liệt – nơi sản sinh tinh dịch để chuyên chở tinh trùng. Theo Bệnh viện Mayo Clinic, một số loại vẫn khu trú ở tuyến tiền liệt và dễ điều trị hơn, nhưng một số loại tấn công hơn và di căn nhanh. NCI cho biết năm 2010 ung thư tuyến tiền liệt gây ra khoảng 32.000 ca tử vong ở nam giới. |
![]() |
| 6. Bệnh bạch cầu: Có nhiều thể bệnh bạch cầu, nhưng tất cả đều tác động tới các mô tạo máu của cơ thể, như tủy xương và hệ bạch huyết, dẫn tới sản sinh quá mức các tế bào bạch cầu bất thường. Năm 2010, có gần 22.000 người tử vong do bệnh bạch cầu. |
![]() |
| 7. Bệnh lympho không Hodgkin: Bệnh ung thư này tác động tới các tế bào lympho (một loại tế bào bạch cầu) và có biểu hiện là sưng hạch bạch huyết, sốt và sụt cân. |
![]() |
| Có một vài thể bệnh lympho không Hodgkin, được phân loại theo ung thư phát triển nhanh hay chậm và loại tế bào lympho bị tác động. Bệnh lympho không Hodgkin dễ chết người hơn bệnh lympho Hodgkin, và gây tử vong cho hơn 20.000 người trong năm 2010. |
![]() |
| 8. Ung thư gan và ống mật trong gan: Ung thư gan là một trong những bệnh ung thư phổ biến nhất trên thế giới, nhưng không hay gặp ở Mỹ. Tuy nhiên, tỷ lệ ung thư gan ở Mỹ đang gia tăng. Phần lớn ung thư gan xuất hiện ở Mỹ bắt nguồn từ vị trí khác sau đó di căn tới gan. Loại ung thư tương đối gần là ung thư ống mật trong gan, xuất hiện trong ống dẫn mật từ gan tới ruột non. Theo NCI, nam 2010 có gần 19.000 người Mỹ tử vong vì ung thư gan và ống mật trong gan. |
![]() |
| 9. Ung thư buồng trứng: NCI cho biết ung thư buồng trứng là nguyên nhân gây tử vong đứng hàng thứ 4 ở phụ nữ trong khoảng thời gian 2003-2007. Tuổi trung bình của phụ nữ khi được chẩn đoán bệnh là 63. Căn bệnh này dễ điều trị hơn nhưng khó phát hiện ở các giai đoạn đầu. Các triệu chứng bao gồm khó chịu ở bụng, tiểu gấp và đau vùng tiểu khung. Theo NCI, năm 2010 có gần 14.000 phụ nữ tử vong do ung thư buồng trứng. |
![]() |
| 10. Ung thư thực quản: Ung thư thực quản bắt đầu từ các tế bào nội mạc thực quản và thường xảy ra ở phần dưới của thực quản. Theo NCI, trong khoảng thời gian 2003-2007 nam giới tử vong do ung thư thực quản nhiều hơn nữ giới. Năm 2010 có 14.500 người tử vong do ung thư. |











