![]() |
| 1. Sốt: Dấu hiệu đầu tiên của giai đoạn cửa sổ có thể là sốt nhẹ, khoảng 38,8 độ C. Sốt, nếu có xảy ra, thường đi kèm với các triệu chứng nhẹ khác như mệt mỏi, sưng tuyến bạch huyết, đau họng. Ở thời điểm này, virus đi vào trong mạch máu và bắt đầu nhân lên với số lượng lớn. Do đó, nó gây ra phản ứng kích thích ở hệ miễn dịch. |
![]() |
| 2. Mệt mỏi: Phản ứng của hệ miễn dịch cũng có thể khiến bạn thấy mệt khác thường và buồn ngủ lịm. Mệt mỏi có thể là dấu hiệu sớm hoặc muộn của HIV. |
![]() |
| 3. Đau cơ, đau khớp, sưng hạch bạch huyết: Giai đoạn cửa sổ thường bị nhầm với cúm, hoặc các nhiễm trùng khác, thậm chí là giang mai, viêm gan. Điều đó không ngạc nhiên, vì nhiều triệu chứng của các bệnh này giống nhau. |
![]() |
| 4. Đau họng và đau đầu: Cũng giống như các triệu chứng khác, đau họng và đau đầu có thể nhận ra nếu bạn đang ở giai đoạn cửa sổ. Nếu bạn nhớ gần đây mình có sex nguy cơ không an toàn thì nên đi kiểm tra HIV lúc này. Điều này còn mang lại sự an toàn cho người khác, bởi đây cũng là giai đoạn HIV dễ lây nhất. |
![]() |
| Cũng nên nhớ lúc này cơ thể chưa tạo ra kháng thể chống lại HIV, vì thế xét nghiệm kháng thể có thể không thấy. Hãy chọn phương án khác như phát hiện ARN virus, nhất là trong vòng 9 ngày sau khi nhiễm. |
![]() |
| 5. Phát ban trên da: Phát ban trên da có thể xảy ra ở giai đoạn sớm hoặc muộn của bệnh. Các vết sưng, hồng, ngứa trên da nếu không có lý do thỏa đáng, bạn nên nghĩ tới xét nghiệm HIV. |
![]() |
| 6. Buồn nôn, nôn, tiêu chảy: Khoảng 30-60% mọi người có buồn nôn, nôn hoặc tiêu chảy ngắn hạn trong giai đoạn sớm của HIV. |
![]() |
| 7. Giảm cân: Giảm cân (AIDS wasting) là dấu hiệu bệnh trở nặng, có thể đi kèm với tiêu chảy nghiêm trọng. Khi bạn giảm cân, nghĩa là hệ miễn dịch đang suy kiệt dần, dù bạn có ăn nhiều hết mức. Tuy nhiên, hiện tại, nhờ liệu pháp kháng virus, tình trạng này đã giảm dần. |
![]() |
| Một người được xem là giảm cân nếu mất hơn 10% trọng lượng cơ thể và có tiêu chảy, mệt mỏi, sốt trong hơn 30 ngày. |
![]() |
| 8. Ho khan: Những cơn ho âm thầm có thể kéo dài nhiều tuần (mà kháng sinh, thuốc chống dị ứng, thuốc xông... đều vô tác dụng) là triệu chứng điển hình ở bệnh nhân HIV đã rất nặng. |
![]() |
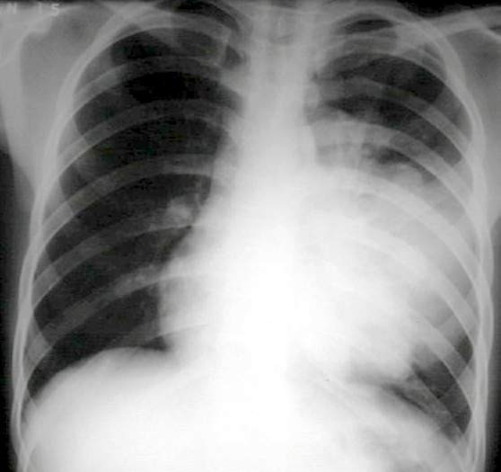
| 9. Viêm phổi: Ho và giảm cân có thể là chỉ báo về một bệnh nhiễm trùng nghiêm trọng do vi khuẩn gây ra, mà bình thường nếu hệ miễn dịch khỏe mạnh bạn không thể mắc. |
![]() |
| 10. Đổ mồ hôi đêm: Khoảng một nửa bệnh nhân đổ mồ hôi trộm vào ban đêm trong giai đoạn đầu nhiễm HIV. Tình trạng này thậm chí còn phổ biến hơn vào giai đoạn sau, và không có liên quan đến việc tập thể dục hay nhiệt độ trong phòng. |
![]() |
| Tương tự như những cơn bốc hỏa ở phụ nữ thời mãn kinh, những cơn đổ mồ hôi trộm này cũng khó mà kiểm soát, có thể gây ướt ga trải giường của bạn. |
![]() |
| 11. Thay đổi ở móng: Một dấu hiệu khác ở giai đoạn muộn nhiễm HIV là thay đổi ở móng tay chân, chẳng hạn móng dày lên, cong queo, móng bị chẻ, hoặc biến màu (có các sọc đen, nâu nằm dọc hoặc ngang). |
![]() |
| Thường thì tình trạng này là do nhiễm nấm. Bệnh nhân có hệ miễn dịch suy kiệt sẽ nhạy cảm hơn với nhiễm nấm. |
![]() |
| 12. Bệnh nấm: Một loại bệnh nấm khác người có HIV hay gặp ở giai đoạn muộn là bệnh tưa miệng - do nấm Candida gây ra, thường gây khó nuốt. |
![]() |
| 13. Khó tập trung: Rối loạn nhận thức có thể là một dấu hiệu của chứng mất trí liên quan đến HIV, thường xảy ra muộn trong tiến trình bệnh. Nó còn liên quan đến khả năng ghi nhớ, và các vấn đề về hành vi như giận dữ, cáu kỉnh. |
![]() |
| 14. Herpes ở miệng hoặc cơ quan sinh dục: Chúng có thể là dấu hiệu của giai đoạn cửa sổ và cả giai đoạn cuối nhiễm HIV. Người mang HIV thường có xu hướng có nhiều đợt bùng phát herpes nghiêm trọng hơn bình thường do HIV làm suy yếu hệ miễn dịch. Bản thân việc bị herpes cũng là một yếu tố nguy cơ nhiễm HIV. |
![]() |
| 15. Các cơn đau nhói ở chi: Nhiễm HIV giai đoạn muộn có thể gây tình trạng tê và đau nhói ở tay, chân. Đó là khi các tế bào thần kinh bị phá hủy. |
![]() |
| 16. Rối loạn kinh nguyệt: Bệnh khi tiến triển sẽ làm tăng nguy cơ thất thường kinh nguyệt, chẳng hạn số lần có kinh ít hơn, lượng máu kinh ít đi. Tuy nhiên, tình trạng này có thể là do sự giảm cân hoặc sức khỏe kém ở những người đã vào giai đoạn muộn, chứ không phải do bản thân việc nhiễm virus. Người nhiễm HIV cũng mãn kinh sớm hơn vài năm. |
Minh Hoàng (Theo Health,Vne)



















