![]() |
| 1.Bệnh RSV: Đây là từ viết tắt của virus tế bào hô hấp, loại virus này cũng chính là nguyên nhân hàng đầu gây nên các bệnh về viêm tiểu phế quản (viêm đường hô hấp nhỏ) và viêm phổi ở trẻ sơ sinh. Triệu chứng của căn bệnh này giống như cúm, bao gồm sốt, chảy nước mũi, và ho. Tuy nhiên, căn bệnh này sẽ giảm dần theo sự phát triển của cơ thể. |
![]() |
| 2. Nhiễm trùng tai: Đây là căn bệnh trẻ nhỏ rất hay mắc phải, bệnh do một loại virus gây nên. Các triệu chứng ban đầu bao gồm sốt, buồn bực, hay cáu, và kéo tai. Điều cần lưu ý với các bà mẹ đó là phải vệ sinh tai luôn sạch sẽ cho con. Khi bị nhiễm trùng có thể dùng thuốc theo sự chỉ dẫn của bác sĩ. |
![]() |
| 3. Keo tai: Đây là sự tích tụ của chất lỏng trong tai giữa (có hoặc không có bất kỳ sự đau đớn nào) được gọi là viêm tai giữa (OME). Bệnh thường xảy ra khi đã bị nhiễm trùng tai hoặc nhiễm trùng đường hô hấp. Căn bệnh này có thể ảnh hưởng đến thính giác của đứa trẻ. |
![]() |
| 4. Viêm thanh quản: Nguyên nhân là do viêm đường hô hấp trên, thường là do virus gây ra. Bệnh ảnh hưởng trực tiếp đến đường thở, khi phát hiện bệnh cần phải đưa vào bệnh viện để có những điều trị kịp thời. Bệnh phổ biến nhất ở trẻ em dưới 5 tuổi. |
![]() |
| 5. Bệnh chân-tay-miệng: Đây là căn bệnh cũng rất phổ biến, được gây ra bởi một cơn sốt cùng với các mụn nước trên miệng, lòng bàn tay, mông, và lòng bàn chân. |
![]() |
| 6. Bệnh đau mắt đỏ: Bệnh do một loại virus cảm lạnh thông thường gây nên. Bệnh đau mắt đỏ lây lan nhanh trong các trường học và các trung tâm chăm sóc trẻ em. Bệnh có thể trở thành đại dịch. |
![]() |
| 7. Bệnh phát ban : là một loại bệnh với các triệu chứng thường là sốt và nổi những vết nổi lên sau cơn sốt của bệnh và có mầu hồng, kèm theo mệt mỏi, ngứa ngáy, sau cơn sốt kéo dài 2, 3 ngày, thân người bệnh sẽ nổi ban. Đối với người Việt Nam, những vết nổi trên toàn thân nào cũng được gọi là “ban” khiến nhiều lúc khó phân biệt những bệnh có triệu chứng này. Bệnh sốt phát ban thường được nhầm lẫn nhiều nhất với bệnh sởi, một bệnh nặng hơn nhiều. |
![]() |
| 8. Rotavirus: Trước khi có vắc xin khống chế căn bệnh này thì rotavirus là nguyên nhân hàng đầu dẫn đến các ca tử vong ở trẻ nhỏ. |
![]() |
| 9. Bệnh Kawasaki: Đây là một trong những căn bệnh hiếm và vẫn là một ẩn số đối với các nhà y học. Căn bệnh thường xảy ra ở trẻ dưới 5 tuổi. Các triệu chứng bao gồm sốt cao, phát ban loang lổ, sưng và đỏ bàn tay, bàn chân, mắt đỏ ngầu, và môi nứt nẻ. Nếu không được điều trị, bệnh có thể gây hại cho tim và có thể gây tử vong. |
![]() |
| 10. Bệnh thủy đậu: Đây là căn bệnh có thể ngăn chặn được thông qua tiêm chủng ngừa thủy đậu. Nếu không chữa trị kịp thời, thủy đậu có thể gây ra các biến chứng nguy hiểm ở trẻ sơ sinh, người lớn và phụ nữ có thai. |
![]() |
| 11. Bệnh sởi: Những triệu chứng ban đầu của sởi đó là sốt, chảy nước mũi, ho …sau đó những triệu chứng sẽ mờ dần và xuất hiện phát ban toàn thân. Hiện sởi đã không còn là mối lo quá lớn vì đã có vắc xin tiêm phòng đặc trị. |
![]() |
| 12. Quai bị: Triệu chứng khi bị quai bị đó là sẽ xuất hiện hiện tượng sưng ở tuyến giữa tai và hàm. Đây là căn bệnh có thể gây biến chứng và vô sinh. Tuy nhiên, hiện nay đã có vắc xin tiêm phòng. |
![]() |
| 13. Rubella (sởi Đức): Rubella, hay còn gọi là sởi Đức, bệnh do một loài virus gây ra, nhưng không gây vấn đề nghiêm trọng đến sức khỏe. Các triệu chứng thường gặp là sốt nhẹ và phát ban lây lan từ mặt đến các bộ phận khác của cơ thể. |
![]() |
| 14. Ho gà: Là căn bệnh mà trẻ nhỏ hay mắc phải, để ngăn chặn được ho gà thì tiêm chủng là biện pháp tốt nhất. |
![]() |
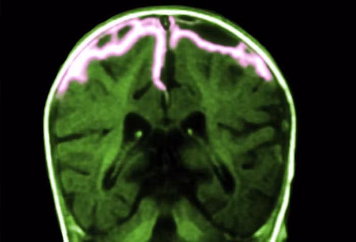
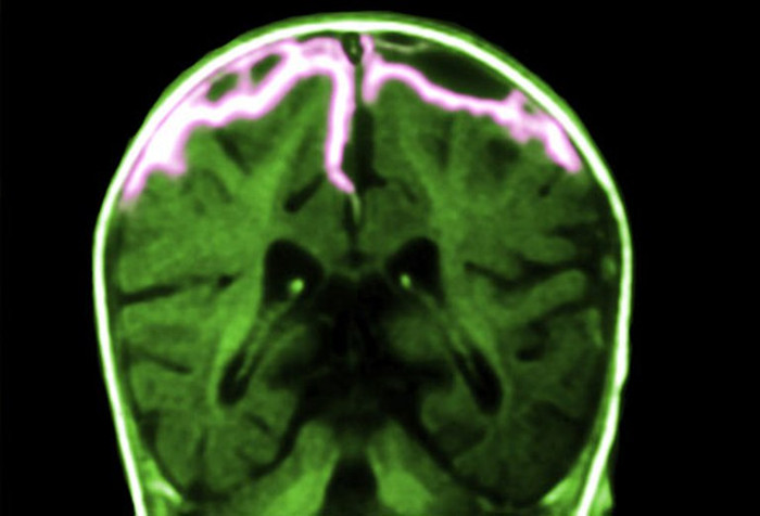
| 15. Viêm màng não: Viêm màng não là tình trạng viêm hoặc nhiễm trùng các mô xung quanh não và tủy sống. Ở trẻ nhỏ bệnh thường có các triệu chứng giống như cúm. Khi bị viêm mang não mà không được điều trị nhanh chóng thì sẽ để lại hậu quả nghiêm trong. |
![]() |
| 16. Viêm họng: Những dấu hiệu bao gồm đau họng kéo dài hơn một tuần, đau đớn hoặc khó nuốt, chảy nước dãi quá mức, phát ban, có mủ ở mặt sau của cổ họng … Viêm họng được điều trị bằng kháng sinh. |
![]() |
| 17. Bệnh ban đỏ: Triệu chứng ban đầu sẽ là sự nổi mẩn trên ngực và bụng sau đó lan rộng ra khắp cả cơ thể, kèm theo đó là sốt cao. Nếu không được điều trị, nó có thể dẫn đến sốt thấp khớp, tổn thương tim. Bệnh có thể dễ dàng chữa khỏi bằng thuốc kháng sinh. |
![]() |
| 18. Hội chứng Reye: Hội chứng này rất nguy hiểm và nó sẽ đe dọa đến tính mạng và tấn công trẻ em khi dung thuốc có chứa aspirin. Các triệu chứng bao gồm xuất hiện co giật, hôn mê... Để tránh Hội chứng này, các bà mẹ nên tránh xa việc dùng thuốc có aspirin. |
![]() |
| 19. Nhiễm trùng da: Bệnh do loại vi khuẩn có tên là MRSA gây nên. Bệnh nhiễm trùng này thường xuất hiện ở các vết loét hoặc bóng nước. |
![]() |
| 20. Chốc lở da: Chốc lở là một bệnh nhiễm trùng da do vi khuẩn gây nên. Đây là loại bệnh phổ biến nhất ở trẻ em độ tuổi từ 2 đến 6. Bệnh được điều trị bằng kháng sinh. |
![]() |
| 21. Nấm da: Đây là căn bệnh rất dễ lây lan, nhất là khi trẻ đi đến trường và phải dùng chung đồ. |
![]() |
| 22. Bệnh Lyme: Thủ phạm gây bệnh là một loại vi khuẩn giống như bọ ve hươu nhỏ. Nếu không được điều trị, bệnh có thể ảnh hưởng đến các khớp xương, hệ thần kinh và tim. |
![]() |
| 23. Cúm: Là bệnh viêm nhiễm cấp tính đường hô hấp gây nên bởi virus cúm lây truyền nhanh, thường thành dịch |
![]() |
| 24. Dị ứng theo mùa: Các triệu chứng bao gồm hắt hơi, chảy nước mắt, chảy nước mũi hoặc nghẹt mũi và có thể chỉ xảy ra vào mùa xuân hoặc mùa thu. Đối với lọai dị ứng này thì có thể dùng thuốc hoặc phương pháp dân gian. |
Theo Kiến thức























