Mòn răng là sự mất tổ chức của răng do nguyên nhân toàn thân hoặc tại chỗ. Theo các nghiên cứu gần đây, người ta nhận thấy mòn răng xảy ra nhanh hơn và ở tuổi trẻ hơn. Bệnh gây nhiều phiền toái cho người bệnh khi ăn uống hoặc nghỉ ngơi và nếu không được chữa trị tận gốc dựa vào nguyên nhân gây bệnh và cơ chế bệnh sinh thì rất dễ thất bại.
Các tổn thương mòn răng được chia thành 4 nhóm: mòn răng sinh lý, mòn răng bệnh lý, mòn hóa học và tiêu cổ răng.
Mòn răng sinh lý
Mòn răng sinh lý còn gọi mòn răng-răng là sự mất tổ chức cứng do sự trượt lên nhau giữa các răng đối đầu dưới tác động của các tác nhân nội tại có thể là sinh lý hoặc bệnh lý. Khi bị mòn răng sinh lý thường có thứ tự mòn răng tương đối ổn định: mòn rìa cắn trước, sau đó mòn đến các núm ngoài răng dưới và núm trong răng trên. Mặt tổn thương có thể phẳng trong giai đoạn mòn men, khi ngà răng bị bộc lộ thường bắt màu nâu, tốc độ mòn của ngà nhanh hơn tốc độ mòn men nên tổn thương có dạng hình lõm đáy chén. Các tổn thương của hai răng đối đầu thường khớp khít vào nhau. Vị trí và mức độ tổn thương phụ thuộc vào đặc điểm khớp cắn: các điểm chạm sớm và các điểm cản trở cắn là các điểm mòn răng sinh lý thường xuất hiện sớm. Khi mòn nhiều gây nhạy cảm răng, tủy phản ứng tạo ngà thứ phát để bảo vệ tủy.
Tùy theo nguyên nhân, quá trình điều trị mòn răng - răng có thể điều chỉnh các điểm cản trở cắn và các điểm chạm sớm, lựa chọn phương pháp phục hồi thích hợp: trám răng, chụp răng, máng chống nghiến răng cho bệnh nhân bị nghiến răng.
![]() |
| Chải răng đúng cách ngăn ngừa được mòn răng. |
Điểm danh những thực phẩm giúp nam giới "bảnh bao" hơn
Mòn răng bệnh lý
Mòn răng bệnh lý còn gọi mài mòn là quá trình mòn răng do tác động của các lực ma sát từ các tác nhân ngoại lai. Nguyên nhân rất đa dạng và gây nên các hình thái mài mòn khác nhau, có thể là: lực chải răng quá mạnh, các hạt trong kem đánh răng quá thô, thói quen cắn các vật cứng (tẩu thuốc, thổi kèn, cắn đinh, cắn bút, cắn chỉ, cắn móng tay...), thói quen ăn thức ăn xơ, cứng, mòn răng bệnh lý có thể xuất hiện thứ phát sau mài mòn hóa học.
Vị trí tổn thương phụ thuộc vào vị trí tác động của lực ngoại lai. Vùng tổn thương thường không giống tổn thương mòn răng-răng, ranh giới tổn thương rõ, có xu hướng làm tù núm răng và các rìa cắn. Trên các tổn thương lộ ngà có thể có các tổn thương lõm hình đáy chén. Tổn thương có thể khu trú ở một nhóm hoặc một số răng do tiếp xúc liên tục với một lực ma sát của vật ngoại lai như do thói quen cắn đinh, cắn tẩu thuốc...
Trong các nguyên nhân gây mòn răng bệnh lý trên rất hay gặp là mòn răng do bàn chải. Mòn răng do bàn chải thường gặp ở cổ răng do có thói quen chải răng ngang, tổn thương có tính chất đối xứng. Mài mòn do bàn chải thường để lại một tổn thương lõm hình chêm, góc nhọn, bờ tổn thương rõ, mặt ngà bóng. Lực ma sát bàn chải có thể tạo ra các vết xước song song trên bề mặt ngà.
Điều trị tùy theo nguyên nhân. Cần thay đổi cách chải răng nếu chải răng sai, thay đổi thói quen xấu, thay đổi chế độ ăn, phục hồi lại tổ chức bị mất tùy theo trường hợp bằng các vật liệu trám răng.
Mòn hóa học
Mòn hóa học là quá trình mòn răng bệnh lý do các hóa chất pH thấp làm tan tổ chức cứng của răng mà không có sự tác động của vi khuẩn. Nguyên nhân có thể do có các bệnh nội khoa (như hội chứng trào ngược dạ dày thực quản) hoặc do bệnh nghề nghiệp (làm ắc qui, tiếp xúc với khí gas acide) hay dùng các thức ăn nước uống chứa nhiều acid (các loại nước uống có ga)…
Mòn hoá học làm mất chất dạng lan rộng và ít có giới hạn, vị trí tổn thương nằm ở các răng gần nhau nơi có acid phá hủy mạnh nhất, tổn thương có thể xảy ra ở tất cả các mặt răng. Trong hội chứng trào ngược: mặt mòn chủ yếu là mặt trong răng cửa trên. Mòn răng do hơi acid chì: thường thấy ở mặt ngoài răng đối với công nhân sản xuất ắc quy. Tổn thương mòn hóa học làm bề mặt men trở nên trong suốt. Các tổn thương lộ ngà cũng có khả năng tạo hình ảnh lõm đáy chén với vành men trong suốt ở chu vi.
Điều trị: loại trừ nguyên nhân, thay đổi chế độ ăn, loại bỏ các thức ăn và nước uống làm tiêu men, các bệnh nội khoa kèm theo như hội chứng trào ngược dạ dày thực quản. Phần tổ chức cứng mất được phục hồi lại có thể bằng composit hoặc veneer, chụp, onlay tùy mức độ và vị trí tổn thương.
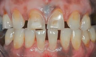
![]() |
| Răng bị mòn sinh lý. |
Tiêu cổ răng
Tiêu cổ răng là tổn thương tổ chức cứng trên bề mặt cổ răng trong quá trình răng chịu lực uốn.
Nguyên nhân hay gặp là do răng xoay trục hoặc có cản trở cắn sang bên. Các răng này phải chịu lực uốn tại đúng đường ranh giới cement- ngà, ngang mức với mào xương ổ răng. Các trụ men sẽ bị gãy vỡ, để lộ khung đệm hữu cơ và dưới tác động cơ học của chải răng, khung hữu cơ sẽ bị tổn thương cản trở quá trình tái khoáng. Hiện tượng này xảy ra trong suốt quá trình răng chịu lực nhai khi hàm dưới thực hiện hoạt động chức năng tạo nên tổn thương lõm hình chêm tiến triển đơn độc ở một răng.
Điều trị tiêu cổ răng cần mài chỉnh khớp cắn hoặc điều chỉnh trục răng, hàn phục hồi cổ răng bằng composit vi thể có độ đàn hồi tốt để giảm các lực xoắn vặn tại cổ răng.
Theo SKĐS

