Nhóm nghiên cứu của TS-BS Lương Đình Lâm, nguyên Trưởng khoa Chấn thương chỉnh hình Bệnh viện Chợ Rẫy vừa đưa ra hướng điều trị khả quan cho bệnh xương thủy tinh.
Bệnh xương thủy tinh (hay tạo xương bất toàn) là bệnh di truyền với yếu tố gene trội. Bệnh do tình trạng khiếm khuyết trong tạo mô liên kết, đặc biệt là collagen type 1. Tình trạng này khiến cơ thể không thể tự tạo xương bình thường và xương rất dễ gãy. Sự khiếm khuyết tạo mô liên kết còn khiến thân hình bệnh nhân nhỏ bé hơn so với bình thường.
Ngoài ra, cơ quan vận động của bệnh nhân bị biến dạng do gãy xương nhiều lần. Tỷ lệ mắc bệnh từ 1/20.000 đến 1/50.000 dân số bị bệnh tạo xương bất toàn hay bệnh xương thủy tinh, số bệnh nhi mắc bệnh này khá nhiều nhưng rất ít gia đình biết con em mình đang bị bệnh.
Hiện nay vẫn chưa có cách chữa triệt để bệnh xương thủy tinh, nhưng nhiều phương pháp điều trị đã được áp dụng để giúp các bệnh nhân có cuộc sống gần như bình thường. Vật lý trị liệu với thủy liệu pháp bao gồm các trò chơi vận động dưới nước, bơi lội giúp giảm nguy cơ té ngã gây gãy xương. Các biện pháp khác chưa cho thấy hiệu quả cao. Khi xương bị gãy, cách dùng nẹp vít tuy có thể giữ vững được vùng xương gãy nhưng không thể đảm bảo cho vùng xương bên dưới hay bên trên nẹp không bị gãy.
Vì xương quá giòn nên một số nhóm nghiên cứu đã nghĩ đến việc đóng một cây đinh trong lòng tủy xương nhằm tăng cường độ cứng cho xương. Tuy nhiên, nếu đóng đinh trong lòng tủy của bệnh nhân bình thường không khó đối với các phẫu thuật viên chấn thương chỉnh hình thì lại hết sức phức tạp khi làm cho bệnh nhân bị bệnh xương thủy tinh. Nguyên nhân là vì rất khó có thể luồn đinh thẳng vào lòng xương bị biến dạng cong vẹo. Tiếp đến, xương và lòng tủy xương của những bệnh nhân này rất nhỏ, đôi khi xương gần như không có lòng tủy.
Nhóm nghiên cứu của TS-BS Lương Đình Lâm đã thực hiện một biện pháp táo bạo là cắt nhỏ đoạn xương bị gãy, dùng một dụng cụ tự chế để khoan rộng lòng tủy xương để luồn đinh Rush. Sau đó, phẫu thuật viên sẽ nối các khúc xương đã bị cắt rời thành một đoạn thẳng để vừa có thể giữ vững xương gãy vừa chỉnh lại được tình trạng cong vẹo của tay hoặc chân của bệnh nhân bị bệnh xương thủy tinh. Kết quả bước đầu rất đáng khích lệ, chân các bệnh nhi được phẫu thuật bằng phương pháp này đã được chỉnh thẳng, giúp các em sinh hoạt tốt và giảm đi cảm giác tự ti do bệnh tật.
Bệnh xương thủy tinh (hay tạo xương bất toàn) là bệnh di truyền với yếu tố gene trội. Bệnh do tình trạng khiếm khuyết trong tạo mô liên kết, đặc biệt là collagen type 1. Tình trạng này khiến cơ thể không thể tự tạo xương bình thường và xương rất dễ gãy. Sự khiếm khuyết tạo mô liên kết còn khiến thân hình bệnh nhân nhỏ bé hơn so với bình thường.
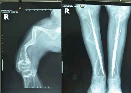
![]() |
| Chụp X-quang xương bị cong (bên trái) và sau khi được cắt khúc, chỉnh trục thẳng - Ảnh: do TS-BS Lương Đình Lâm cung cấp |
Ngoài ra, cơ quan vận động của bệnh nhân bị biến dạng do gãy xương nhiều lần. Tỷ lệ mắc bệnh từ 1/20.000 đến 1/50.000 dân số bị bệnh tạo xương bất toàn hay bệnh xương thủy tinh, số bệnh nhi mắc bệnh này khá nhiều nhưng rất ít gia đình biết con em mình đang bị bệnh.
Hiện nay vẫn chưa có cách chữa triệt để bệnh xương thủy tinh, nhưng nhiều phương pháp điều trị đã được áp dụng để giúp các bệnh nhân có cuộc sống gần như bình thường. Vật lý trị liệu với thủy liệu pháp bao gồm các trò chơi vận động dưới nước, bơi lội giúp giảm nguy cơ té ngã gây gãy xương. Các biện pháp khác chưa cho thấy hiệu quả cao. Khi xương bị gãy, cách dùng nẹp vít tuy có thể giữ vững được vùng xương gãy nhưng không thể đảm bảo cho vùng xương bên dưới hay bên trên nẹp không bị gãy.
Vì xương quá giòn nên một số nhóm nghiên cứu đã nghĩ đến việc đóng một cây đinh trong lòng tủy xương nhằm tăng cường độ cứng cho xương. Tuy nhiên, nếu đóng đinh trong lòng tủy của bệnh nhân bình thường không khó đối với các phẫu thuật viên chấn thương chỉnh hình thì lại hết sức phức tạp khi làm cho bệnh nhân bị bệnh xương thủy tinh. Nguyên nhân là vì rất khó có thể luồn đinh thẳng vào lòng xương bị biến dạng cong vẹo. Tiếp đến, xương và lòng tủy xương của những bệnh nhân này rất nhỏ, đôi khi xương gần như không có lòng tủy.
Nhóm nghiên cứu của TS-BS Lương Đình Lâm đã thực hiện một biện pháp táo bạo là cắt nhỏ đoạn xương bị gãy, dùng một dụng cụ tự chế để khoan rộng lòng tủy xương để luồn đinh Rush. Sau đó, phẫu thuật viên sẽ nối các khúc xương đã bị cắt rời thành một đoạn thẳng để vừa có thể giữ vững xương gãy vừa chỉnh lại được tình trạng cong vẹo của tay hoặc chân của bệnh nhân bị bệnh xương thủy tinh. Kết quả bước đầu rất đáng khích lệ, chân các bệnh nhi được phẫu thuật bằng phương pháp này đã được chỉnh thẳng, giúp các em sinh hoạt tốt và giảm đi cảm giác tự ti do bệnh tật.
| Chuyên mục bạn quan tâm | |
| | |
| Những tin được bạn đọc quan tâm | |
| Những thực phẩm cực tốt giúp thanh nhiệt, giải độc trong mùa hè | |
Theo Thanh Niên
