Sau 7 ngày cấp cứu và điều trị tại BV Nhi Đồng 2, TPHCM, bé Phạm Hoàng Việt (8 tuổi, ngụ Bình Dương) đã bắt đầu ăn uống được. Hiện huyết động học của Việt ổn định, đi tiểu bớt đỏ sậm và tiếp tục được theo dõi.
![]() |
| Sau 7 ngày điều trị, hiện sức khỏe bé Phạm Hoàng Việt đã ổn định |
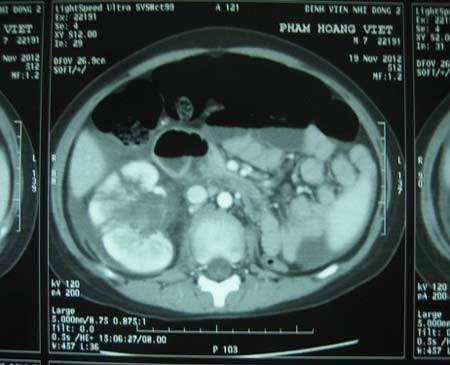
Trước đó, ngày 18/11, Việt đang đi xe đạp thì bị xe máy tông vào lưng. Sau khi té, bé thấy đau vùng hông phải, tiểu ra máu. Việt được chuyển đến BV Nhi Đồng 2 trong tình trạng vùng hông phải bầm tụ máu, ấn đau và tiểu ra máu. Sau khi làm CT và siêu âm bụng cho Việt, các bác sĩ phát hiện bé chỉ có một quả thận. Trái thận này bị chấn thương độ V, nứt làm 3 mảnh nhưng cuống mạch máu thận vẫn còn.
Theo BS Phạm Ngọc Thạch, Khoa Ngoại Niệu, BV Nhi Đồng 2, chấn thương thận chiếm khoảng 4% trong chấn thương ở trẻ em. Tuy nhiên, chấn thương trên quả thận độc nhất thì cực kỳ hiếm, hầu như y văn chưa có ghi nhận.
![]() |
| Hình ảnh siêu âm cho thấy bé Việt chỉ có 1 quả thận |
Ngoài tai nạn giao thông thì thể thao là nguyên nhân gây chấn thương thận. Do đó, trẻ em có một thận cần tránh những môn thể thao có nhiều va chạm như bóng chày, khúc côn cầu…
Theo Người lao động

