Đáng nói là hiện nay, trên thị trường có đủ các loại từ kem, cát, đến thuốc tẩy tế bào chết do các cơ sở tự pha trộn, đóng gói đang được bày bán mà chưa hề qua đăng ký chất lượng.
Sạch siêu tốc?
Chị T.T.N. đến Biệnh viện Da liễu TP.HCM với gương mặt chi chít những mẩn đỏ. Chị cho hay, thấy sản phẩm tẩy tế bào chết làm từ cám gạo, tưởng an toàn chị mua về dùng thử. Ai ngờ, chỉ sau 30 phút, chị thấy mặt nóng ran, ngứa ngáy, mẩn đỏ nổi đầy mặt.
Tương tự, sau một thời gian sử dụng thuốc tẩy tế bào chết, da của chị P.T.T. (35 tuổi, Bình Dương) bắt đầu láng mịn. Nhưng chỉ sau một thời gian ngắn, chị phải cầu cứu bác sĩ (BS) vì da cổ mỏng đến độ các mạch máu nổi rõ lên. Một vài phần da trên cơ thể chị bị đỏ ửng, nhiều bóng nước xuất hiện, sưng nề. Sau đó, bóng nước bong tróc để lại những vùng da trợt màu đỏ như bệnh nhân phỏng.
Hiện nay, hàng loạt các loại kem tẩy pha trộn không rõ nguồn gốc được bày bán công khai tại các chợ. Khách hàng có thể dễ dàng mua các loại “kem tẩy tế bào chết đặc biệt không rát da, không ăn nắng”, “kem tẩy tế bào chết cấp tốc”, “cát tẩy sạch tế bào chết”... giá chỉ vài chục ngàn đồng/hộp tại các sạp mỹ phẩm ở chợ Tân Bình (Q.Tân Bình, TP.HCM).
Khi nghe tôi nói có nhu cầu lấy hàng nhiều, chủ sạp H. (chợ Tân Bình) liền giới thiệu loại kem tẩy với giá chỉ 40.000 đồng/hộp. Loại kem này được một cơ sở tại TP.HCM sản xuất với công dụng “da sạch bong chỉ sau 15 - 20 phút sử dụng”.
Chị này cũng đưa tôi xem bộ sản phẩm tẩy tế bào chết hiệu E., giá 85.000 đồng; trên vỏ hộp toàn chữ Thái Lan, những con số không biết là ngày sản xuất hay hạn sử dụng. Người bán còn giới thiệu bộ sản phẩm gồm: một lọ cát tẩy, một lọ kem, một gói bột xà phòng trộn đều rồi bôi lên toàn thân để trong 15 phút cho khô bám vào da; sau đó, tắm sạch da bằng sữa tắm kèm theo và khẳng định: “Bảo đảm da sẽ không còn chút tế bào chết mà lại chẳng sợ ăn nắng”.
Tại chợ Bình Tây (Q.6), chúng tôi được giới thiệu một loại dung dịch sền sệt, màu hồng nhạt được chứa trong các chai lọ nhựa đủ kích cỡ, không hề có nhãn mác. Mặt hàng này được người bán giới thiệu là “kem tẩy tế bào chết siêu tốc”, lọ 250g giá chỉ 40.000 đồng có công dụng làm sạch tế bào chết và mềm, mịn; chống lão hóa, tái tạo da mới...
Chợ này còn bán nhiều loại kem tương tự có dán nhãn hiệu X-T - “kem tẩy tế bào chết, dưỡng da cấp tốc” của một công ty ở Cần Thơ. Hầu hết các sản phẩm đều được giới thiệu có tác dụng... dưỡng da mịn màng, chống lão hóa và phục hồi da.
Tại các spa, dịch vụ tẩy tế bào chết cũng phong phú không kém. Hầu hết đều giới thiệu: “Có nhiều hàng “độc quyền” chuyên tẩy tế bào chết, nguyên liệu từ thiên nhiên”.
Tại một mỹ viện trên đường Điện Biên Phủ, Q.1, cô nhân viên tên S. đưa chúng tôi xem một loại kem tẩy tế bào chết trộn sẵn với giá hơn 1 triệu đồng/hũ nhưng không có nhãn mác. Có loại được đựng trong những chai nhựa nhỏ với nhãn chỉ ghi “tẩy tế bào chết”, giá: 100.000 - 200.000 đồng/chai. Tất cả đều không có thông tin về thành phần, đơn vị sản xuất, hạn sử dụng... Khi chúng tôi tỏ vẻ nghi ngại, S. liền nói: “Nhiều khách hàng của em xài lắm, chị yên tâm!”.
Có thể gây ung thư
BS Huỳnh Huy Hoàng - BV Da liễu TP.HCM cảnh báo, các loại kem tẩy da trên thị trường không nhãn mác, không rõ nguồn gốc thường bán giá thấp và quảng cáo rất “kêu”. Thành phần của các loại kem này thường là nhiều chất độc hại có nồng độ quá mức. Người sử dụng các loại kem này có thể bị tác dụng tức thời như đỏ da, rộp da, khó thở, phải nhập viện.
Có không ít bệnh nhân gặp biến chứng do tẩy tế bào chết đến cầu cứu các BS da liễu, chủ yếu là những bệnh nhân nữ từ 20 - 35 tuổi. Đặc biệt, những phụ nữ trung niên ở các tỉnh xa thường gặp biến chứng khi tẩy tế bào chết kèm “trị” nám. Các biến chứng thường gặp là dị ứng, kích ứng, nhiễm trùng da, thậm chí trúng độc da do các thành phần hóa chất trong thuốc tẩy. Những trường hợp này, da sẽ không bao giờ hồi phục như cũ.
Để tẩy tế bào chết “siêu tốc”, nhiều thẩm mỹ viện thường dùng hai nhóm chính: một, tẩy tế bào chết kể cả những tế bào đang trưởng thành ở bề mặt da, để lộ ra lớp tế bào non, tạo ra cảm giác da trắng hồng, mịn màng, sáng hơn.
Các BS chuyên khoa da liễu cho biết, lạm dụng việc tẩy đó, đồng nghĩa với “cố ý” phá đi lớp bảo vệ của da và thay thế bằng lớp da non. Da sẽ tạm thời mịn màng hơn, nhưng trong vòng vài ba tuần sau đó, cơ thể sẽ phản ứng. Da còn có thể dễ bị trầy xước, xuất huyết do việc tẩy đã cọ xát quá mạnh làm mỏng da và vỡ các mạch máu nhỏ dưới da.
Nhóm thứ hai là dùng các chất hóa học để “đẩy nhanh tiến độ”, làm mất đi sắc tố của bề mặt da. Trong đó, một số loại thuốc thường được sử dụng như hydroquinone, acid với nồng độ cao, corticoid... ThS-BS Lê Thái Vân Thanh, giảng viên Bộ môn Da liễu (ĐH Y Dược TP.HCM) cho biết: “Trong nhóm hóa chất, loại thuốc được sử dụng rộng rãi là corticoid. Bên cạnh đó là một số thuốc can thiệp trực tiếp vào quá trình làm chuyển hóa sắc tố ở lớp thượng bì”.
Theo các BS, đây là những thuốc có chức năng làm tẩy da mạnh nhưng có nhiều phản ứng phụ nguy hiểm. Hydroquinone vốn đã bị cấm buôn bán, sử dụng ở một số nước vì có thể gây ung thư. Ngoài ra, hiện nay người ta còn pha trộn các loại kem tẩy da bằng axit như axit sunfuric, cho thêm corticoid. BS Huỳnh Huy Hoàng cảnh báo: “Acid liều cao dùng để tắm trắng có thể ngấm qua da, gây phỏng, tróc da mạnh”.
Theo Phụ nữ TP.HCM
Sạch siêu tốc?
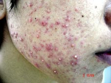
Chị T.T.N. đến Biệnh viện Da liễu TP.HCM với gương mặt chi chít những mẩn đỏ. Chị cho hay, thấy sản phẩm tẩy tế bào chết làm từ cám gạo, tưởng an toàn chị mua về dùng thử. Ai ngờ, chỉ sau 30 phút, chị thấy mặt nóng ran, ngứa ngáy, mẩn đỏ nổi đầy mặt.
![]() |
| Hãi hùng sau khi tẩy da chết. Ảnh minh họa. |
Hiện nay, hàng loạt các loại kem tẩy pha trộn không rõ nguồn gốc được bày bán công khai tại các chợ. Khách hàng có thể dễ dàng mua các loại “kem tẩy tế bào chết đặc biệt không rát da, không ăn nắng”, “kem tẩy tế bào chết cấp tốc”, “cát tẩy sạch tế bào chết”... giá chỉ vài chục ngàn đồng/hộp tại các sạp mỹ phẩm ở chợ Tân Bình (Q.Tân Bình, TP.HCM).
Khi nghe tôi nói có nhu cầu lấy hàng nhiều, chủ sạp H. (chợ Tân Bình) liền giới thiệu loại kem tẩy với giá chỉ 40.000 đồng/hộp. Loại kem này được một cơ sở tại TP.HCM sản xuất với công dụng “da sạch bong chỉ sau 15 - 20 phút sử dụng”.
Chị này cũng đưa tôi xem bộ sản phẩm tẩy tế bào chết hiệu E., giá 85.000 đồng; trên vỏ hộp toàn chữ Thái Lan, những con số không biết là ngày sản xuất hay hạn sử dụng. Người bán còn giới thiệu bộ sản phẩm gồm: một lọ cát tẩy, một lọ kem, một gói bột xà phòng trộn đều rồi bôi lên toàn thân để trong 15 phút cho khô bám vào da; sau đó, tắm sạch da bằng sữa tắm kèm theo và khẳng định: “Bảo đảm da sẽ không còn chút tế bào chết mà lại chẳng sợ ăn nắng”.
Tại chợ Bình Tây (Q.6), chúng tôi được giới thiệu một loại dung dịch sền sệt, màu hồng nhạt được chứa trong các chai lọ nhựa đủ kích cỡ, không hề có nhãn mác. Mặt hàng này được người bán giới thiệu là “kem tẩy tế bào chết siêu tốc”, lọ 250g giá chỉ 40.000 đồng có công dụng làm sạch tế bào chết và mềm, mịn; chống lão hóa, tái tạo da mới...
Chợ này còn bán nhiều loại kem tương tự có dán nhãn hiệu X-T - “kem tẩy tế bào chết, dưỡng da cấp tốc” của một công ty ở Cần Thơ. Hầu hết các sản phẩm đều được giới thiệu có tác dụng... dưỡng da mịn màng, chống lão hóa và phục hồi da.
Tại các spa, dịch vụ tẩy tế bào chết cũng phong phú không kém. Hầu hết đều giới thiệu: “Có nhiều hàng “độc quyền” chuyên tẩy tế bào chết, nguyên liệu từ thiên nhiên”.
![]() |
| Kem, bột, thuốc tẩy tế bào chết "sưu tầm" từ chợ Bình Tây |
Tại một mỹ viện trên đường Điện Biên Phủ, Q.1, cô nhân viên tên S. đưa chúng tôi xem một loại kem tẩy tế bào chết trộn sẵn với giá hơn 1 triệu đồng/hũ nhưng không có nhãn mác. Có loại được đựng trong những chai nhựa nhỏ với nhãn chỉ ghi “tẩy tế bào chết”, giá: 100.000 - 200.000 đồng/chai. Tất cả đều không có thông tin về thành phần, đơn vị sản xuất, hạn sử dụng... Khi chúng tôi tỏ vẻ nghi ngại, S. liền nói: “Nhiều khách hàng của em xài lắm, chị yên tâm!”.
Có thể gây ung thư
BS Huỳnh Huy Hoàng - BV Da liễu TP.HCM cảnh báo, các loại kem tẩy da trên thị trường không nhãn mác, không rõ nguồn gốc thường bán giá thấp và quảng cáo rất “kêu”. Thành phần của các loại kem này thường là nhiều chất độc hại có nồng độ quá mức. Người sử dụng các loại kem này có thể bị tác dụng tức thời như đỏ da, rộp da, khó thở, phải nhập viện.
Có không ít bệnh nhân gặp biến chứng do tẩy tế bào chết đến cầu cứu các BS da liễu, chủ yếu là những bệnh nhân nữ từ 20 - 35 tuổi. Đặc biệt, những phụ nữ trung niên ở các tỉnh xa thường gặp biến chứng khi tẩy tế bào chết kèm “trị” nám. Các biến chứng thường gặp là dị ứng, kích ứng, nhiễm trùng da, thậm chí trúng độc da do các thành phần hóa chất trong thuốc tẩy. Những trường hợp này, da sẽ không bao giờ hồi phục như cũ.
Để tẩy tế bào chết “siêu tốc”, nhiều thẩm mỹ viện thường dùng hai nhóm chính: một, tẩy tế bào chết kể cả những tế bào đang trưởng thành ở bề mặt da, để lộ ra lớp tế bào non, tạo ra cảm giác da trắng hồng, mịn màng, sáng hơn.
Các BS chuyên khoa da liễu cho biết, lạm dụng việc tẩy đó, đồng nghĩa với “cố ý” phá đi lớp bảo vệ của da và thay thế bằng lớp da non. Da sẽ tạm thời mịn màng hơn, nhưng trong vòng vài ba tuần sau đó, cơ thể sẽ phản ứng. Da còn có thể dễ bị trầy xước, xuất huyết do việc tẩy đã cọ xát quá mạnh làm mỏng da và vỡ các mạch máu nhỏ dưới da.
Nhóm thứ hai là dùng các chất hóa học để “đẩy nhanh tiến độ”, làm mất đi sắc tố của bề mặt da. Trong đó, một số loại thuốc thường được sử dụng như hydroquinone, acid với nồng độ cao, corticoid... ThS-BS Lê Thái Vân Thanh, giảng viên Bộ môn Da liễu (ĐH Y Dược TP.HCM) cho biết: “Trong nhóm hóa chất, loại thuốc được sử dụng rộng rãi là corticoid. Bên cạnh đó là một số thuốc can thiệp trực tiếp vào quá trình làm chuyển hóa sắc tố ở lớp thượng bì”.
Theo các BS, đây là những thuốc có chức năng làm tẩy da mạnh nhưng có nhiều phản ứng phụ nguy hiểm. Hydroquinone vốn đã bị cấm buôn bán, sử dụng ở một số nước vì có thể gây ung thư. Ngoài ra, hiện nay người ta còn pha trộn các loại kem tẩy da bằng axit như axit sunfuric, cho thêm corticoid. BS Huỳnh Huy Hoàng cảnh báo: “Acid liều cao dùng để tắm trắng có thể ngấm qua da, gây phỏng, tróc da mạnh”.
Lưu ý khi tẩy tế bào da chết:
- Không dùng kem của cơ thể cho vùng mặt và ngược lại.
- Với các sản phẩm tẩy da chết thường kèm theo massage, nên thao tác cần nhẹ nhàng.
- Cần thử phản ứng cẩn thận trước khi tẩy, cho dù đó là sản phẩm có nguồn gốc thiên nhiên.
- Cần bôi kem dưỡng sau khi tẩy để cung cấp độ ẩm và dưỡng chất.
- Da mới tẩy tế bào chết cần tránh tiếp xúc trực tiếp với ánh nắng mặt trời.
- Không được lạm dụng, vì tẩy quá nhiều sẽ làm tổn thương lớp bảo vệ trên da, khiến da bị mỏng, dễ kích ứng, dị ứng và dễ bị thâm nám.
- Tránh tẩy tế bào chết trong thời gian bị mụn bọc để không làm tổn thương những đốm mụn trên da.
- Không dùng kem của cơ thể cho vùng mặt và ngược lại.
- Với các sản phẩm tẩy da chết thường kèm theo massage, nên thao tác cần nhẹ nhàng.
- Cần thử phản ứng cẩn thận trước khi tẩy, cho dù đó là sản phẩm có nguồn gốc thiên nhiên.
- Cần bôi kem dưỡng sau khi tẩy để cung cấp độ ẩm và dưỡng chất.
- Da mới tẩy tế bào chết cần tránh tiếp xúc trực tiếp với ánh nắng mặt trời.
- Không được lạm dụng, vì tẩy quá nhiều sẽ làm tổn thương lớp bảo vệ trên da, khiến da bị mỏng, dễ kích ứng, dị ứng và dễ bị thâm nám.
- Tránh tẩy tế bào chết trong thời gian bị mụn bọc để không làm tổn thương những đốm mụn trên da.
Theo Phụ nữ TP.HCM

