Người tiêu thụ đường tự do trên 10% tổng số nhu cầu năng lượng hay ăn các món có đường tự do trên bốn lần trong ngày sẽ tăng nguy cơ bị sâu răng. Đường tự do gồm tất cả đường đơn, đường đôi, ví dụ glucose, sucrose (đường mía), fructose (đường trái cây), dextrose...
![]() |
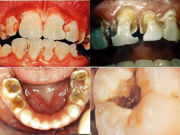
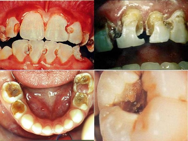
| Sâu răng (Ảnh minh họa/ Nguồn: Internet) |
Giảm cơn đau đầu bằng vài mẹo nhỏ đối với dân công sở
Những loại đường này có thể xuất phát từ tự nhiên như đường mía, đường trái cây, cũng có thể là đường công nghiệp thêm vào bánh, kẹo, kem. Các loại thực phẩm dễ gây sâu răng bao gồm kẹo, nước ngọt, bánh ngọt, bánh snack, bánh bông lan, trái cây ngọt, chè các loại, kem... Tinh bột trong cơm, khoai, bánh mì không tăng nguy cơ sâu răng.
Bên cạnh sâu răng, mòn men răng cũng liên quan đến dinh dưỡng. Các nhà khoa học thấy rằng thực phẩm mang tính acid, ví dụ như trong nước ngọt và các loại nước trái cây, có thể làm giảm độ pH của vùng men răng làm mòn dần lớp men răng (men răng chịu được độ pH tối ưu ở mức 5.5). Mòn men răng kéo dài làm giảm kích thước răng và nặng là phá hủy răng.
Ngược lại, các nghiên cứu cho thấy phômai lại có tác dụng ngừa sâu răng và mòn men răng rất hiệu quả (ăn phômai sau thức ăn ngọt sẽ giúp ngừa sâu răng tốt hơn). Phômai giúp nâng độ pH tại men răng, do đó giúp phòng ngừa sâu răng (trong sâu răng, các thực phẩm nhiều đường sẽ làm giảm độ pH tại men răng tạo điều kiện thuận lợi cho vi khuẩn gây sâu răng phát triển). Bên cạnh đó phômai còn giúp gia tăng nồng độ canxi tại mảng bám, nồng độ canxi tăng sẽ giúp tăng cường men răng do quá trình tăng cường khoáng chất tại men răng.
Để phòng chống sâu răng cần sử dụng kem đánh răng có bổ sung fluoride hoặc nguồn nước có bổ sung fluoride. Nên hạn chế thực phẩm ngọt cả về số lượng và tần suất sử dụng, nên tiếp xúc thức ăn có chứa đường dưới bốn lần mỗi ngày gồm cả bữa chính và bữa phụ để phòng ngừa sâu răng. Nên chải răng sớm trong vòng 30 phút sau bữa ăn, đặc biệt là bữa ăn ngọt để phòng chống sâu răng hiệu quả. Sử dụng kẹo cao su cũng có tác dụng phòng chống sâu răng.
Các nghiên cứu còn cho thấy một chế độ ăn thiếu vitamin C dễ dẫn đến bệnh nướu răng và chế độ ăn thiếu canxi, vitamin D cũng gia tăng nguy cơ phát triển bất thường men răng, đặc biệt ở trẻ em trong giai đoạn mọc răng sữa và răng vĩnh viễn. Do đó cần lưu ý bổ sung chế độ ăn để đảm bảo đủ các loại vitamin và khoáng chất này.
