Đây là trường hợp đầu tiên ở Việt Nam, một bệnh nhân không bị bệnh suy giảm miễn dịch nhiễm loại nấm này. Chính vì vậy, các thầy thuốc khuyến cáo, việc phát hiện, chẩn đoán sớm và có phác đồ điều trị kịp thời là việc làm cần thiết để cứu sống bệnh nhân.
Viêm màng não do nấm ở bệnh nhân không HIV rất hiếm gặp
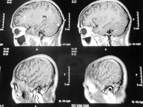
Đó là bệnh nhân nam (53 tuổi, ở Lộc An, Nam Định) làm nông nghiệp, không có tiền sử HIV hay các bệnh lý mạn tính khác. Bệnh nhân có biểu hiện sốt kéo dài nhiều ngày kèm theo gầy sút cân (12kg), ho khan, đau đầu, nôn, chân phù. Đặc biệt, biểu hiện nổi bật là các triệu chứng trên hệ thần kinh, lúc đầu là đau đầu, nôn, sau đó có giảm trí nhớ, liệt nửa người trái, rối loạn tâm thần, co giật động kinh và giai đoạn sau là rối loạn ý thức, hôn mê.
![]() |
| Hình ảnh nấm não trên MRI (T2). |
Bệnh diễn biến phức tạp với tổn thương nhiều cơ quan như viêm não, viêm phổi, nấm máu và suy thận. Đã điều trị tích cực bằng kháng sinh, nuôi dưỡng, thông khí nhân tạo, lọc thận, bù dịch điện giải... nhưng người bệnh bị suy hô hấp nặng và đã tử vong sau hơn 3 tháng mắc bệnh.
Thủ phạm gây nấm não
Penicillium marneffei lần đầu tiên được phân lập tại Việt Nam vào năm 1956 từ một loài chuột tre (bamboo rat) có tên là Rhyzomys sinensis. Trường hợp nhiễm nấm P. marneffei xảy ra đầu tiên trên người được công bố đầu tiên năm 1973 ở một người Mỹ bị bệnh Hodgkin đã sống ở Đông Nam Á.
Sau đó, người ta phát hiện được một số trường hợp ở Thái Lan, Trung Quốc và Việt Nam nhưng đều ở người nhiễm HIV/AIDS. Gần đây, nhiễm nấm P. marneffei được coi là nhiễm khuẩn cơ hội hay gặp trong những người nhiễm HIV/AIDS tại khu vực Đông Nam Á hoặc đi du lịch tới các nước Đông Nam Á.
Bệnh thường gặp trên bệnh nhân có suy giảm miễn dịch như nhiễm HIV giai đoạn cuối (AIDS) hoặc trên bệnh nhân bị Hodgkin, bệnh bạch cầu, luput ban đỏ hệ thống, sử dụng corticoid kéo dài hoặc liệu pháp điều trị gây suy giảm miễn dịch. Đây là dạng nhiễm khuẩn cơ hội và loại nấm hay gặp là cryptococcus neophormans.
Tại Việt Nam, năm 2003 đã phát hiện ca nấm não do C.neophormans không bị HIV/AIDS đầu tiên tại Bệnh viện Lâm sàng Nhiệt đới Trung ương. Nấm não do penicillium marneffei trên bệnh nhân không có HIV/AIDS hiếm gặp hơn, đã có phát hiện ở Brazil (2005), Malaysia (2009).
Những triệu chứng điển hình
Triệu chứng lâm sàng chung của nhiễm nấm P. marneffei thường biểu hiện lách to, gan to, hạch to, sốt trên 380C, giảm cân, thiếu máu, nổi ban sẩn đỏ ngoài da và nấm họng, đau đầu, tiêu chảy, ho, khó thở... các biểu hiện về nhiễm nấm máu, nấm não-màng não ít gặp hơn.
Đặc điểm lâm sàng chung của nấm não-màng não là đau đầu, buôn nôn, nôn, rối loạn tâm thần, co giật động kinh, có thể có liệt, hội chứng màng não, rối loạn ý thức, hôn mê. Chẩn đoán xác định nấm P. marneffei trước đây dựa vào soi nấm trực tiếp, nuôi cấy. Trong những năm gần đây đang phát triển kỹ thuật chẩn đoán sinh học phân tử là CPR và giải mã gen với độ nhạy và độ đặc hiệu cao.
Trên bệnh nhân diễn biến lâm sàng ban đầu là hội chứng nhiễm khuẩn nhẹ, sau đó xuất hiện các triệu chứng về hô hấp, suy thận và viêm não; xét nghiệm cùng thời điểm thấy tổn thương ở phổi, suy thận, thay đổi dịch não tủy, nhiễm nấm máu và nấm trong dịch não tủy. Như vậy, bệnh nhân đã bị nhiễm nấm máu, từ đó nấm lan rộng khắp cơ thể và xâm nhập vào hệ thần kinh trung ương.
![]() |
| Hình ảnh nấm phổi. |
Chẩn đoán khó?

