Đoạn video được thực hiện từ tháng 11 năm 2010 bởi một nhóm nghiên cứu dẫn đầu là tiến sĩ Christian Bamberg nhưng tới tận thời điểm này nó mới được công bố.
![]() |
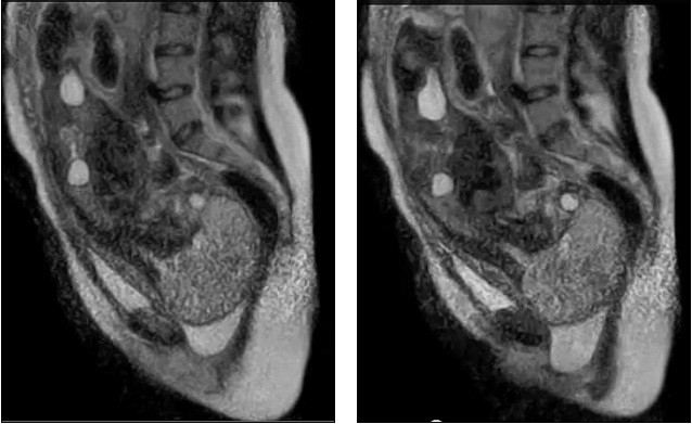
| Ảnh ghi lại quá trình em bé được đẩy dọc theo ống sinh (âm đạo) |
Dẫu vậy, đoạn video dài 30 giây đã được đánh giá là một bước đột phá trong ngành y học và là một tư liệu quan trọng cung cấp những thông tin bổ ích về quá trình sinh sản.
Ngoài ra, nhờ đoạn video này, các nhà nghiên cứu tại bệnh viện Berlin đã phát triển một máy MRI đặc biệt dùng để quan sát quá trình sinh con.
![]() |
| Tiến trình này được diễn ra theo quy tắc 2 bước tiến và 1 bước lùi. |
Em bé trong đoạn video là con của một bà mẹ 24 tuổi, người tình nguyện tham gia nghiên cứu và đã dành 45 phút bên trong máy MRI để các chuyên gia có thể ghi lại được cảnh tử cung co bóp đẩy em bé xuống ống sinh (âm đạo).
Tuy nhiên, các nhà nghiên cứu đã ngừng ghi hình trước khi em bé xuất hiện bởi trẻ sơ sinh không được tiếp xúc với sóng âm của máy MRI.
| Những sự kiện nổi bật | |
| CÁC NỘI DUNG KHÁC | |
Nguyễn Hường (nguồn Daily Mail)


